
17.06.2014
Heute waren wir beim Augenarzt. Boots und Bala sind beide frei von erblichen Augenkrankheiten.


16.06.2014



15.06.2014

14.06.2014


12.06.2014

11.06.2014

10.06.2014

09.06.2014



08.06.2014

07.06.2014
Heute haben die zwei das erste mal ihre Halsbänder getragen.

06.06.2014


05.06.2014
Schon wieder sind 2 Wochen rum und die beiden wurden turnusgemäß nochmals entwurmt.

04.06.2014

03.06.2014



02.06.2014

01.06.2014

31.05.2014

30.05.2014

29.05.2014

28.05.2014


27.05.2014

26.05.2014

25.05.2014
Leider gibt es nur Handyfotos. Der Fotoapparat hat seinen Dienst eingestellt.

24.05.2014


23.05.2014

22.05.2014
Jetzt sind sie schon 4 Wochen. Es gab heute die zweite Wurmkur.

21.05.2014
Heute durften die beiden mit raus in
den Garten. Sie sind beide total cool, haben neugierig die Welt
erkundet und sich verwöhnen lassen.

20.05.2014

19.05.2014


18.05.2014
Seid gestern Abend wird nun auch Brei geschlabbert. Bala fand es erwartungsgemäß lecker, Boots war noch nicht ganz überzeugt.

Die Spiele werden wilder. Leider ist die Kräfteverteilung sehr einseitig.



17.05.2014
Boots hat die Kilomarke geknackt.
Auch wenn sich das sehr wenig anhört, hat er jetzt schon seit einiger
Zeit seine Schwester bei der prozentualen Zunahme überholt.

16.05.2014
Auch bei Boots sind die ersten Zähne durchgekommen.

15.05.2014
Heute sind die beiden schon 3 Wochen alt und werden immer mobiler.


14.05.2014

13.05.2014

12.05.2014
Bei Bala sind die ersten Zähnchen durchgebrochen.

11.05.2014
Heute hat die erste Wurfabnahme stattgefunden. Der Zuchtwart hatte nichts zu beanstanden.

10.05.2014

09.05.2014

08.05.2014
Heute sind die beiden schon zwei
Wochen alt. Sie haben ihre erste Wurmkur bekommen und haben beide ihre
ersten Schritte versucht.

07.05.2014
Geburtstag von Mama Ness

06.05.2014
Heute haben beide ihre Augen geöffnet.

05.05.2014

04.05.2014


03.05.2014
Auch Bowie konnte sein Gewicht verdoppeln und wiegt 350 g.

02.05.2014
Vermutlich wird Bala langhaarig, bei Bowie ist es noch nicht genau zu erkennen.

01.05.2014
Heute sind die beiden Bs schon eine Woche alt. Bala hat ihr Gewicht verdoppelt, wie es nach einer Woche sein sollte.

30.04.2014

29.04.2014

28.04.2014
Bowie hat eine neonatale
Augenentzünding entwickelt, d.h. er hat bereits im Mutterleib Erreger
ins geschlossene Auge bekommen, die sich nun entzündet haben.
Vermutlich hat ihm das schon gestern Probleme bereitet. Das Auge wurde
in der Uni Gießen behandelt und wird nun zweimal täglich gespült und
antibiotisch behandelt.
27.04.2014
Beide Nasen sind bereits voll
durchpigmentiert. Da es Bowie anscheinend nicht gut ging, waren wir
heute morgen um 2:00 Uhr in der Uniklinik in Gießen. Es konnte aber
nichts festgestellt werden.

26.04.2014

25.04.2014

24.04.2014
B&B sind heute leider per
Kaiserschnitt in der Uniklinik Gießen zwischen 10 und 11 Uhr auf die
Welt gekommen: eine große Hündin und ein winziger Rüde
Ness hat die OP zum Glück gut
überstanden und hat bereits auf dem OP-Tisch angefangen, ihre Welpen zu
säugen. Da alle soweit in Ordnung sind, durfte die Familie nachmitags
direkt mit nach Hause kommen.

19.04.2014
Mein Bauchgefühl hat mich diesmal zum
Röntgen getrieben. Leider erwarten wir nur 2 Welpen. Es tut mir für
alle Interessenten, die jetzt leer ausgehen, sehr sehr leid. Wir
hoffen, dass die Welpen trotzdem problemlos auf die Welt kommen.
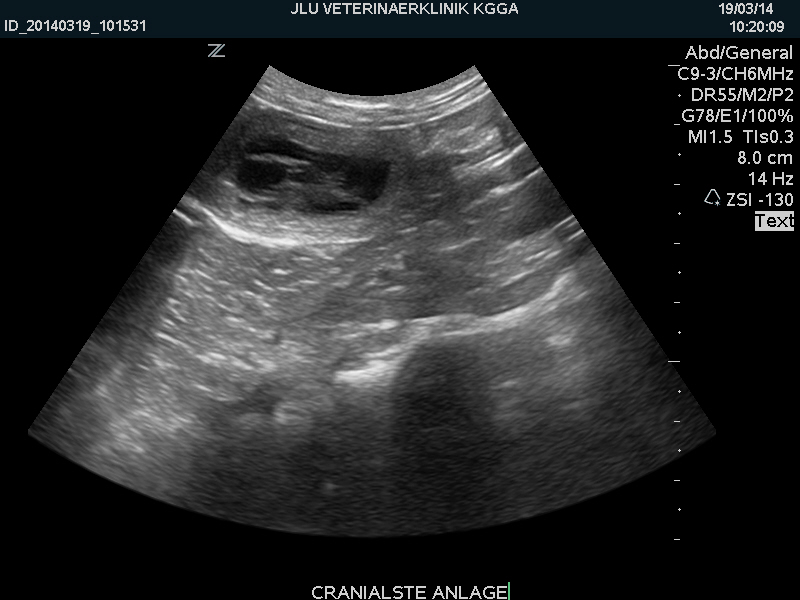
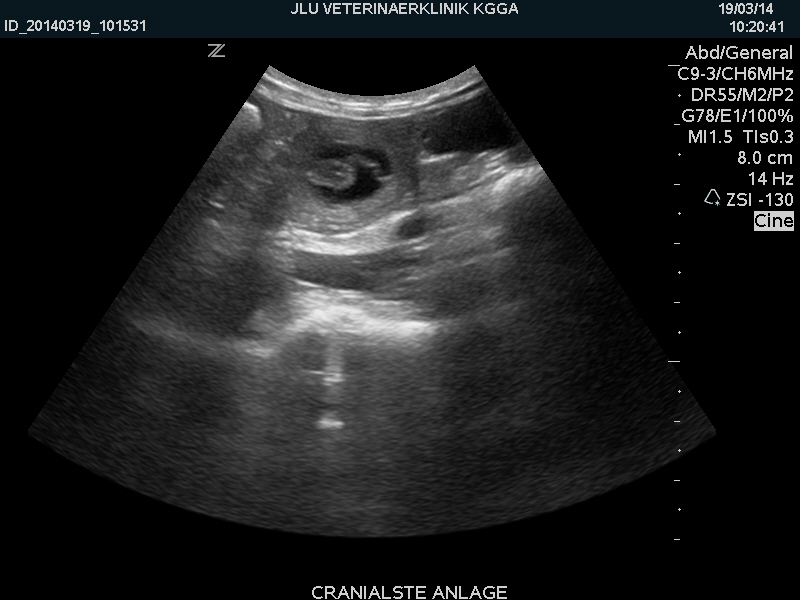
19.03.2014
Ness ist tragend. Wir waren in der Uniklinik Gießen zur Ultraschalluntersuchung.

 
20.02.2014 + 22.02.2014
Ness wurde von Wisp gedeckt.

04.02.2014
Ness ist pünktlich läufig geworden.
|